Černý zubní kámen: Jak ho poznat, proč je nebezpečný a jak ho odstranit

Černý zubní kámen: Jak ho poznat, proč je nebezpečný a jak ho odstranit lis, 4 2025

Rizikový kalibř pro dásně

Odhadujte své riziko vzniku černého zubního kamene

Zadejte své návyky a příznaky, abyste zjistili, jak vysoké je riziko vzniku černého zubního kamene. Tento nástroj vám pomůže pochopit, jakým způsobem můžete zlepšit své zubní hygienu.

Černý zubní kámen není jen ošklivý. Je to signál, že něco v ústech není v pořádku. A pokud ho ignorujete, může začít poškozovat nejen zuby, ale i dásně - až k jejich ztrátě. Nejde o nějakou vzácnou výjimku. V České republice má každý pátý dospělý nějakou formu zubního kamene, a černá vrstva je mezi nimi častá. Nejde o špínu, kterou jen potřebujete lépe čistit. Je to výsledek dlouhodobého zanedbávání a chemických reakcí, které probíhají v ústech bez vaší kontroly.

Co je černý zubní kámen a jak vzniká?

Černý zubní kámen je druh tvrdého nárostu, který vzniká, když se plak (měkká bakteriální vrstva) postupně vápencuje a ztuhne. To se stává, když nečistíte zuby dostatečně často nebo správně. Ale proč právě černý? To je klíčové. Bílý nebo žlutý kámen je často jen vápenatý nárost. Černý má jinou příčinu - železo a chrom z slin, které se spojí s bakteriemi a vytvoří tmavou pigmentovanou vrstvu. Tento typ kamene se často vyskytuje u lidí, kteří pijí hodně černého čaje, kávy nebo kouří. Někdy se objevuje i u pacientů s chronickými záněty dásní nebo u těch, kteří užívají léky obsahující železo.

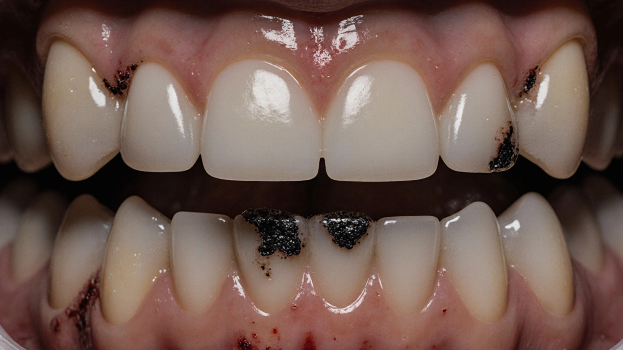
Nejčastěji se černý kámen tvoří na vnitřní straně dolních řezáků - tam, kde vylučuje slinná žláza. Tam je nejvíce vlhkosti a bakterií, a zároveň se plak nejdéle drží, protože lidé často tyto oblasti při čištění přehlížejí.

Proč je černý zubní kámen nebezpečný pro dásně?

Když se kámen hromadí, nejenže vypadá špatně - začíná fyzicky dráždit dásně. Bakterie v něm produkují toxiny, které způsobují zánět. První příznaky jsou červené, krvácející dásně při čištění. To je začátek gingivitidy. Pokud se to nezastaví, zánět se šíří do hlubších tkání - vzniká paradentitida. A to je vážnější. Zničí vazivové tkáně, které drží zub v čelisti, a způsobí jeho pohyblivost. V konečném důsledku může zub vypadnout.

Podle studie z Ústavu stomatologie v Praze z roku 2024 bylo zjištěno, že pacienti s černým zubním kamenem mají třikrát vyšší riziko výrazného ztráty dásně oproti lidem, kteří ho nemají. A to i přes to, že se nejedná o největší množství kamene - jeho barva je přímým indikátorem agresivních bakterií.

Jak poznat, že máte černý zubní kámen?

Není to těžké poznat. Stojíte před zrcadlem, otevřete ústa a podívejte se na vnitřní stranu dolních předních zubů. Pokud vidíte tmavé, černé nebo šedivé skvrny, které se neodstraňují četným čištěním, je to pravděpodobně kámen. Někdy se vyskytuje i na jiných zubech, ale nejčastěji tam, kde sliny proudí nejvíce.

Nezapomeňte na další příznaky:

  • Dásně krvácejí při čištění nebo jídlu
  • Ústa mají trvalý nechutný chuť
  • Stále cítíte, že máte „něco mezi zuby“ i po čištění
  • Dásně se od zubů odlučují - vznikají tzv. zubní kapsy
  • Zuby se zdají být delší, protože dásně ustupují

Nečekáte, až se to zhorší. Pokud máte tyto příznaky déle než týden, je čas na zubaře.

Dentální ultrazvukový čistič odstraňuje černý zubní kámen z předních zubů.

Co dělat, když máte černý zubní kámen?

Neexistuje žádný domácí postup, který by ho odstranil. Žádná pasta, žádná voda, žádný „přírodní“ prostředek. Kámen je tvrdý jako kámen - a nejde ho odstranit štětečkem. Pokusy ho odškrábat jehlou, špendlíkem nebo jiným předmětem jsou nebezpečné. Můžete poškodit sklovinu nebo dásně a způsobit infekci.

Jediný bezpečný a účinný způsob, jak ho odstranit, je profesionální čištění u zubaře. Používá se speciální zařízení - ultrazvukový čistič. Ten vydává vlny, které rozbíjejí kámen bez poškození zubu. Poté se dásně vyčistí ručně a zubní povrch je polýrován, aby se zpomalilo opětovné nárostování.

Proces trvá 30-60 minut, není bolestivý (pokud nemáte vážný zánět) a je pokrytý zdravotním pojištěním v Česku. Stačí si objednat preventivní prohlídku - a zubař vám kámen odstraní.

Jak zabránit jeho vzniku?

Odstranění kamene je jen řešení příznaku. Chcete-li, aby se neobjevil znovu, musíte změnit několik zvyků.

  1. Čistěte zuby dvakrát denně - nejen ráno, ale i večer před spaním. Nejde o to, kolikrát, ale jak dobře. Používejte zubní kartáček s jemnými vlákny a čistěte podél zubů, ne jen dopředu a dozadu.
  2. Používejte zubní nit každý večer. Kámen se často tvoří tam, kde kartáček nedosáhne - mezi zuby.
  3. Omezte černý čaj, kávu a kouření. Tyto látky zvyšují pigmentaci a rychleji vytvářejí černý kámen. Pokud je pije, vypláchněte si ústa vodou hned po pití.
  4. Navštěvujte zubaře každých 6-12 měsíců. I když nemáte bolest, preventivní prohlídka odhalí kámen v rané fázi - kdy je ještě snadné ho odstranit.
  5. Zvažte antiseptické ústní vody. Ty, které obsahují chlorhexidin, mohou pomoci snížit počet bakterií. Ale nepoužívejte je déle než 2 týdny za sebou - mohou způsobit zbarvení zubů.
Přechod od zanedbaných zubů s kamenem k zdravému úsměvu.

Co se stane, když to necháte?

Černý zubní kámen nezmizí sám. Zůstane. A bude se zvětšovat. Každý měsíc se k němu přidávají další vrstvy bakterií a minerálů. Dásně se začnou stahovat. Zuby se začnou hýbat. Můžete začít cítit bolest při jídlu. A pak nastane bod, kdy už není možné zachránit zub. Musí se vytrhnout.

A to je jen začátek. Ztráta zubů ovlivňuje i stravu, mluvu a dokonce i sebevědomí. Někteří lidé se přestanou smát, protože se stydí svého úsměvu. A to všechno jen proto, že někdy zapomněli na zubní nit.

Je černý zubní kámen příznakem nějaké nemoci?

Někdy ano. Pokud máte černý kámen a zároveň trpíte cukrovkou, autoimunitními onemocněními nebo máte chronický zánět dásní, může to být signál, že váš imunitní systém nepracuje správně. Bakterie v kameni mohou pronikat do krevního oběhu a zvyšují riziko srdečních onemocnění. To je důvod, proč lékaři dnes doporučují zubní prohlídky i pacientům s diabetem nebo vysokým krevním tlakem.

Není to přímá příčina, ale je to důležitý faktor. A proto je černý zubní kámen dnes už nejen stomatologický problém - je to celkový ukazatel vašeho zdraví.

Můžu černý zubní kámen odstranit doma pomocí pasty nebo vody?

Ne. Černý zubní kámen je tvrdý minerální nárost, který nelze odstranit běžným čištěním. Domácí prostředky, jako jsou baking soda, ocet nebo „přírodní“ pasty, nemají na něj žádný účinek. Pokusy ho odškrábat mohou poškodit sklovinu nebo dásně. Jediný bezpečný způsob je profesionální čištění u zubaře s ultrazvukem.

Je černý zubní kámen nakažlivý?

Není přímo nakažlivý, ale bakterie, které ho vytvářejí, se mohou přenášet. Například při sdílení kartáčku, lžíce nebo polibku. Pokud máte černý kámen a máte děti nebo partnera, nezneužívejte společné předměty. Důležité je ale nejen přenášení, ale i vaše vlastní hygiena - bez ní se kámen vytvoří i bez kontaktu s jinými.

Může černý zubní kámen způsobit zápach z úst?

Ano, často. Bakterie v kameni rozkládají zbytky jídla a produkují zápachové látky, jako je sulfid vodíku. To je příčina trvalého nechutného pachu, který nezmizí ani po čištění zubů nebo použití ústní vody. Zápach zmizí až po odstranění kamene a léčbě zánětu dásní.

Je černý zubní kámen stejný jako plak?

Ne. Plak je měkká, lepkavá vrstva bakterií, která se tvoří denně na zubech. Pokud ji neodstraníte, ztuhne a přemění se na kámen. Černý kámen je tedy „zralý“ plak, který se vápencoval a zbarvil. Plak můžete odstranit kartáčkem, kámen už ne.

Může černý zubní kámen zmizet sám?

Ne. Kámen se neodstraňuje sám. Naopak - s časem se zvětšuje. Pokud ho necháte, bude růst, dásně budou ustupovat a zuby se budou hýbat. Neexistuje žádný případ, kdy by se černý zubní kámen bez lékařského zásahu odstranil.