Jak bolí paradentóza? Všechno, co potřebujete vědět o bolesti a kyretáži zubů

Jak bolí paradentóza? Všechno, co potřebujete vědět o bolesti a kyretáži zubů led, 11 2026

Rizikový nástroj periodontálního zánětu

Tento nástroj Vám pomůže odhadnout Vaši rizikovost pro rozvoj paradentózy. Odpovězte na otázky a zjistíte, zda je čas navštívit zubaře.

Vaše rizikové faktory

Vaše rizikovost

0

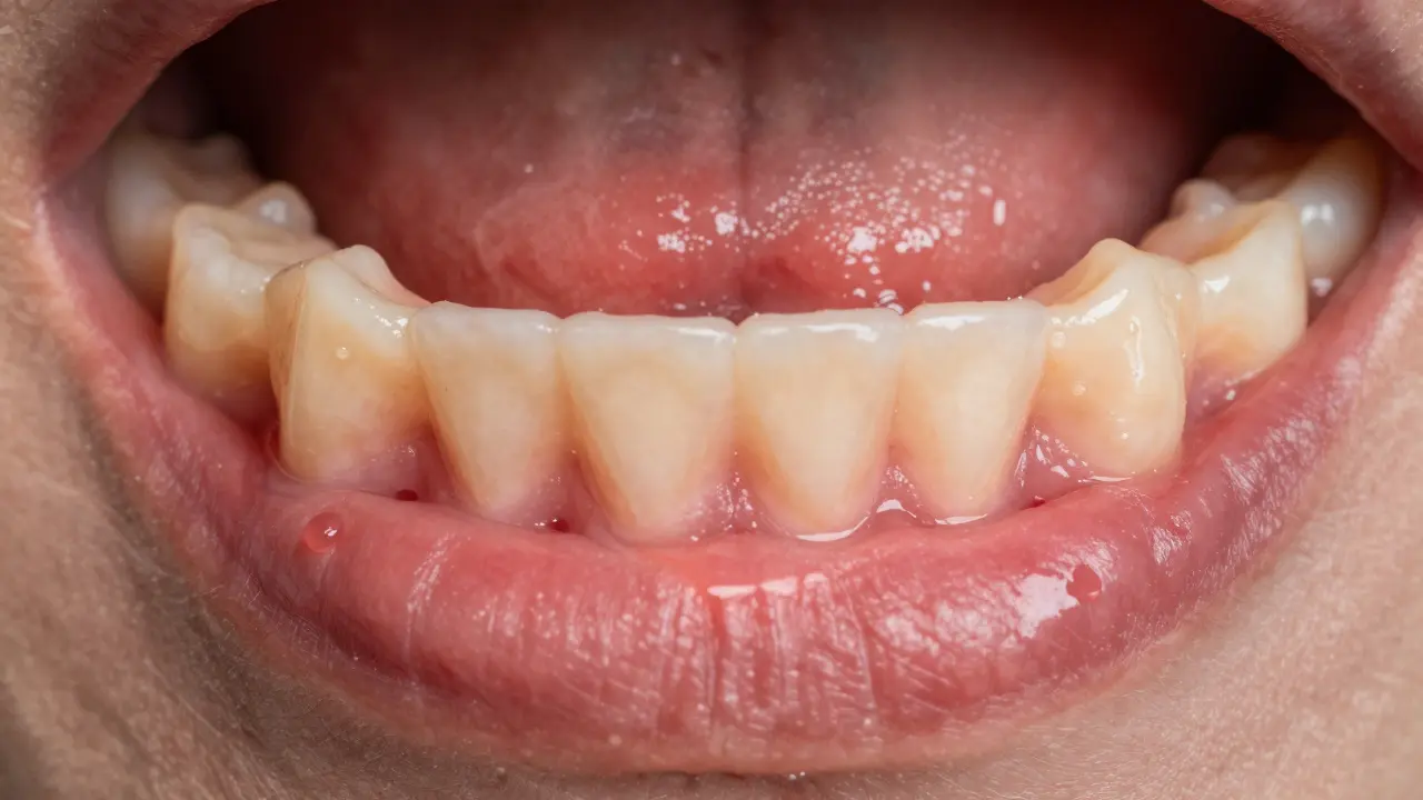
Paradentóza není jen zánět dásní - je to postupné ničení kosti, která drží vaše zuby na místě. A když se to začne dít, bolest není vždy první příznak. Mnoho lidí si myslí, že když nebolí, tak je vše v pořádku. To je největší omyl. Paradentóza se často rozvíjí tichým, bezbolestným způsobem - dokud najednou neztratíte zub, který jste si nikdy neuvědomovali, že je ohrožený.

Co vlastně paradentóza dělá s vašimi zuby?

Paradentóza začíná jako lehký zánět dásní - tzv. gingivitida. Dásně červenají, krvácejí při čištění, mohou být oteklé. To ještě není paradentóza. Ale když se zánět dostane pod dásně, začne ničit paradentální vazivo a alveolární kost. To je ta část, která drží zub pevně v čelisti. Když kost zmizí, zub se začne hýbat. A když se začne hýbat, není to jen nevýhodné - je to nevratné.

Nejčastější příčinou je zubní kámen. To není jen špína na zubech. Je to tvrdý, vápenný nános, který se tvoří z bakterií, slin a zbytků jídla. Když ho neodstraníte, bakterie v něm vyrábějí toxiny, které způsobují zánět. A protože se zubní kámen tvoří především pod dásněmi, hořká pravda je: čištění zubní kartáčkem ho neodstraní. Potřebujete profesionální čištění.

Bolest paradentózy - kdy a proč?

Paradentóza nebolí v počátečních fázích. To je její nejnebezpečnější vlastnost. Mnoho lidí si říká: „Máme červené dásně, ale nebolí to.“ A pak přijde návštěva u zubaře - a zjistí, že už je ztraceno 30 % kosti kolem jednoho zubu.

Bolest se objeví až v pokročilé fázi, kdy:

  • zub začne být pohyblivý - když ho štěknete, cítíte, že se hýbe
  • vytéká hnis z dásní - zápach z úst se stává trvalým
  • dojde k abscesu - to je hnisový váček pod dásní, který vytlačuje kost a způsobuje ostrou, pulzující bolest
  • zubní kámen se rozšířil pod dásně a způsobuje mechanické podráždění

Bolest může být tak silná, že vás přiměje k tomu, abyste nejedli, nehovořili, ani se neusmívali. Ale důležité je: pokud bolest ještě není, neznamená to, že nemáte problém. Naopak - pokud bolest je, je to už vážná situace.

Kyretáž zubů - co to je a proč je to nezbytné?

Kyretáž zubů je léčba, která se provádí, když se zubní kámen dostal pod dásně a nejde ho odstranit běžným čištěním. Je to jako „čištění pod zemí“ - jenže místo zahrady se čistí prostor kolem kořenů zubů.

Postup je jednoduchý, ale ne příjemný:

  1. Zubař nejprve místně očíslí dásně - často pomocí lokálního anestetiku. Nepotřebujete celkovou anestézii.
  2. Použije speciální nástroje - kyrety - které se dostanou pod dásně a odstraní kámen, bakterie a zánětlivou tkáň.
  3. Poté dásně vyčistí a vyhladí povrch kořene, aby se bakterie nemohly snadno znovu usadit.
  4. Proces trvá 30-90 minut, podle toho, kolik zubů je postižených. Často se dělá ve dvou sezeních - jedna část čelisti v jedné návštěvě.

Je to bolestivé? Ano, ale jen během léčby. Po anestezii necítíte nic. Po ní může být dásně citlivé, mohou trochu krvácet a cítit se jako „vypálené“. To trvá 2-5 dní. Ale to je cena za to, abyste zub neztratili.

Největší mýtus: „Kyretáž je jen pro starší lidi.“ To není pravda. Může se stát i 25letému, kdo má špatnou hygienu, kouří nebo má genetickou náchylnost. V Česku je 70 % dospělých nad 35 let postiženo nějakou formou paradentózy. Mnozí to ale nevědí, dokud jim zubař neukáže rentgen.

Zubař provádí kyretáž pod dásní pomocí speciálních nástrojů.

Co se stane, když kyretáž neuděláte?

Když necháte paradentózu běžet, postupuje. Kost se ničí, zuby se hýbou, mezery se zvětšují. Nakonec zuby vypadnou samy - nebo je musíte nechat vytáhnout. A potom? Ztratíte schopnost žvýkat, mluvit, usmívat se. A zároveň zvyšujete riziko srdečních onemocnění, cukrovky a dokonce demence - protože bakterie z úst se dostávají do krevního oběhu.

Nejhorší je, že ztracené kosti se nevrátí. Ani implantát, ani most neobnoví tu původní strukturu. Můžete si dát zub, ale už nebudete mít tu stejnou stabilitu. A náklady na náhradu jsou 5-10 krát vyšší než cena kyretáže.

Kdy a jak se vyhnout kyretáži?

Nejlepší léčba je prevence. A to znamená:

  • Čistit zuby dvakrát denně - nejen před spaním, ale i ráno
  • Používat mezi zuby nit a ne jen kartáček
  • Navštěvovat zubaře každých 6 měsíců - ne jen když bolí
  • Neřešit „červené dásně“ jako normální věc
  • Přestat kouřit - kouření zvyšuje riziko paradentózy o 50-80 %

Nezapomeňte: pokud vám zubař řekne, že máte „nějaký kámen pod dásně“, neříkejte „to se nevyskytuje“ nebo „nemusíme to řešit“. To je jako říct: „Máme malou díru v domě, ale necháme to být - až začne pršet.“

Co dělat po kyretáži?

Po kyretáži je důležité dodržovat pravidla:

  • Nejedzte 2 hodiny po zákroku - necháte anestezii vychladnout
  • Nejedzte horké, kyselé nebo sladké potraviny 24 hodin
  • Používejte měkký kartáček a speciální zubní pastu pro citlivé dásně
  • Nečistěte zuby příliš agresivně - můžete poškodit zraněné dásně
  • Navštěvujte kontrolu každých 3 měsíce - ne každých 6

Největší chyba: lidé si po kyretáži říkají: „Teď už je vše v pořádku.“ To není pravda. Kyretáž zastaví pokročilý zánět, ale nezamezí jeho návratu. Bez pravidelné péče se kámen znovu tvoří. A to znamená, že budete potřebovat další kyretáž - a další - až do chvíle, kdy už nezbude nic, co by se dalo zachránit.

Ztráta kosti kolem zubu s viditelným zánětem a rozpadem struktury.

Je kyretáž zubů bezpečná?

Ano. Je to standardní, běžný zákrok, který provádí zubaři každý den. Riziko infekce je minimální, pokud dodržíte pokyny po zákroku. Někteří lidé se obávají, že se dásně „odstěhují“ a zuby budou vypadat delší. To je pravda - ale jen proto, že dásně se zahojí a vrátí se do přirozené polohy. Když jste měli oteklé dásně, vypadaly jako „překryvající“ zuby. Po kyretáži se dásně zmenší - a zuby vypadají delší. To není škoda. To je návrat k zdraví.

Neexistuje žádná alternativa k kyretáži, když je kámen pod dásněmi. Žádné přírodní léky, žádné plavání v moři, žádné „přírodní pasty“ to neodstraní. Pouze mechanické odstranění zubního kamene a zánětlivé tkáně funguje.

Je to drahé?

Kyretáž není levná - ale je levnější než ztracený zub. V Česku se cena pohybuje od 1 500 do 4 000 Kč za celou čelist, podle rozsahu a kliniky. Pokud máte zdravotní pojištění, část nákladů je hrazena. Některé pojišťovny hradí 50-70 %, pokud je zákrok indikován. Vždy se zeptejte na detaily - nevěřte, že „vše je zdarma“.

Nezapomeňte: cena neznamená kvalitu. Důležité je, aby zubař používal správné nástroje, měl zkušenosti s kyretáží a měl rentgenové snímky před a po. Kvalitní kyretáž je ta, která zastaví ničení kosti - ne jen odstraní kámen.

Co dělat, když vám zubař řekne: „Máte paradentózu“?

Nechte se nejprve vyslechnout. Neztrácejte hlavu. Zadejte si:

  • Rentgenový snímek (panoramatický nebo periapikální)
  • Stanovení hloubky zubních kapslí - to je měření, kolik milimetrů je mezi dásní a zubem
  • Plán léčby - jaké zuby jsou postižené, kolik sezení bude potřeba
  • Odhad nákladů a pokrytí pojištěním

Nejde o to, abyste se rozhodli hned. Můžete si to promyslet. Ale nezatáhěte to. Každý měsíc, co čekáte, znamená dalších 1-2 % ztráty kosti. A to se už nevrátí.