Jak zakrýt zubní kaz: praktické rady, co dělat a co ne

Jak zakrýt zubní kaz: praktické rady, co dělat a co ne pro, 29 2025

Kalkulačka nákladů na léčbu zubního kazu

Zjistěte náklady na léčbu zubního kazu

Varování: Tato kalkulačka ukazuje přibližné náklady. Skutečná cena závisí na zdravotnickém zařízení, regionu a dalších faktorech.
Náklady na léčbu: -- Kč

Náklady na brzkou léčbu: -- Kč
Náklady na pozdní léčbu: -- Kč

Poznámka: Pokud necháte kaz bez léčby, náklady se mohou zvýšit až o --%. Brzká léčba vám ušetří peníze i bolest.

Zubní kaz se neobjeví najednou. Začíná jako malá bílá skvrnka, pak se promění v tmavou dírku, a najednou se vám při jídle zub začne bolet. A když se podíváte do zrcadla a uvidíte černou skvrnu mezi zuby, přichází otázka: jak zakrýt zubní kaz? Možná si říkáte, že to jen tak vydrží, nebo že to zkrátka nevypadá moc špatně. Ale kaz se nezastaví sám. A pokud ho necháte být, může se rozšířit do nitra zubu, způsobit infekci, nebo dokonce způsobit ztrátu zubu.

Co je mezizubní kaz a proč je nebezpečný?

Mezizubní kaz je jeden z nejčastějších typů kazu, který se tvoří mezi zuby, tam, kde kartáček nedosáhne. Tady se hromadí potraviny, bakterie a plak, které kyselou odpadem ničí email. Protože je tento kaz skrytý, nevidíte ho, dokud není příliš pozdě. Často ho objevíte až při zubním vyšetření nebo na rentgenovém snímku. A právě proto je tak nebezpečný - lidé ho často ignorují, dokud nezačne bolet.

Na rozdíl od kazu na povrchu zubu, mezizubní kaz se šíří rychleji. Bakterie se v tomto prostoru množí bez překážek, protože není přístup k čistotě a slinám, které by pomohly neutralizovat kyselost. Když se kaz dostane do dutiny zubu, může postihnout i zubní nerv - a to už je začátek bolesti, abscesu a potřeby kořenového ošetření.

Proč nemůžete kaz zakrýt doma?

Na internetu najdete spoustu tipů: „Zakryj kaz zubním lepidlem“, „Použijte náplast z vosku“, „Nakresli ho černou fixkou“. Tyto metody jsou nebezpečné a neefektivní. Kaz není jen „špína“, kterou můžete zakrýt. Je to aktivní infekce, která ničí tvrdé tkáně zubu. Pokud ji zakryjete, nezastavíte ničení - jen ho skryjete pod povrchem. Bakterie budou dál žít, rozmnožovat se a ničit zub zevnitř.

Zubní lepidla, která prodávají v lékárnách, jsou určena jen pro dočasné zákroky - například když vám spadla náplast nebo zubní korunka. Nejsou navržená k léčbě kazu. Použití vosku nebo fixky může způsobit, že se infekce rozšíří bez vašeho vědomí, protože nevidíte, jak se kaz hluboko šíří.

Jak se skutečně léčí mezizubní kaz?

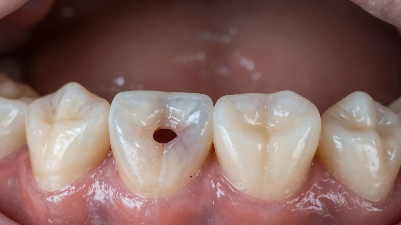
Pravá léčba začíná u zubního lékaře. Neexistuje žádný způsob, jak zakrýt kaz bez odstranění poškozené tkáně. Proces je jednoduchý, ale musí být proveden správně:

  1. Diagnostika - lékař použije zrcátko, sondu a často i rentgen, aby zjistil, jak hluboko kaz sahá.
  2. Odstranění kazu - pomocí vrtáku nebo laseru odstraní poškozenou část zubu. Toto je klíčový krok - bez něj se kaz nezastaví.
  3. Plnění - po odstranění kazové tkáně se zub naplní materiálem, který ho chrání a obnoví jeho tvar. Nejčastěji se používají kompozitní plnění (bílé, přizpůsobené barvě zubu) nebo amalgám (černý, ale velmi pevný).
  4. Prevence - lékař vám ukáže, jak správně čistit mezizubní prostory pomocí mezizubních kartáčků nebo nitě.

Čím dříve to provedete, tím jednodušší a levnější léčba bude. Malý kaz se obvykle léčí za pár tisíc korun. Pokud se kaz rozšíří do zubního nervu, může být potřeba kořenové ošetření - což stojí třikrát tolik. A pokud zub ztratíte, budete potřebovat implantát nebo most, což může stát desítky tisíc korun.

Osoba se dívá do zrcadla a ukazuje na tmavou skvrnu mezi zuby.

Co můžete dělat doma, pokud máte mezizubní kaz?

Necháte-li kaz na chvíli, neznamená to, že ho musíte ignorovat. Zatímco čekáte na návštěvu u zubního lékaře, můžete dělat něco, co pomůže zpomalit jeho rozvoj:

  • Čistěte mezizubní prostory každý den - používejte mezizubní kartáček nebo zubní nit. To odstraní plak, který kazu živí. Nezapomeňte, že kartáček sám o sobě mezizubní kaz neodstraní.
  • Používejte fluoridovou zubní pastu - fluorid pomáhá zpevnit email a zpomaluje ničení. Vyberte si pastu s alespoň 1450 ppm fluoridu.
  • Vyhněte se sladkým nápojům a svačinám - každý krtek cukru, který vám zůstane mezi zuby, je jídlo pro bakterie. Pokud sníte sladké, vypláchněte si ústa vodou hned poté.
  • Používejte ústní vodík - antiseptické ústní vody s chlorhexidinem (max. 14 dní) mohou zkrátit počet bakterií, ale nejsou léčbou.

Tyto kroky nezakryjí kaz, ale mohou zpomalit jeho růst a zamezit bolesti, dokud se nebudete moci dostat k lékaři.

Kdy je potřeba jít k lékaři hned?

Nechte si návštěvu u zubního lékaře na závěr. Pokud máte některý z těchto příznaků, nečekáte - jděte hned:

  • Bolest při kousnutí nebo při pití studeného nebo horkého
  • Černá nebo hnědá skvrna mezi zuby, která se zvětšuje
  • Zápach z úst, který nezmizí i po čištění
  • Opuch v dásni vedle zubu
  • Chutnáte kov nebo slanost ve vašich ústech

Tyto příznaky mohou znamenat, že infekce už dosáhla zubního nervu nebo se rozšířila do dásně. V tom případě už nejde jen o plnění - budete potřebovat kořenové ošetření, antibiotika nebo dokonce vytažení zubu.

Zubní lékař prohledává zub pomocí zrcátka, na pozadí rentgenový snímek.

Co se stane, když kaz necháte být?

Když se rozhodnete ignorovat mezizubní kaz, nejde jen o ztrátu jednoho zubu. Kaz je infekce - a infekce se šíří. Bakterie z jednoho zubu mohou přejít na sousední zuby, způsobit zánět dásní (paradentózu), nebo se dostat do krevního oběhu. V některých případech může zubní infekce přispět k závažnějším problémům, jako je zvýšené riziko srdečních onemocnění nebo komplikace u diabetiků.

Navíc, když zub ztratíte, ostatní zuby se začnou posouvat. To může změnit vaši chůzi, způsobit problémy s kousáním a dokonce ovlivnit tvářový obrys. Oprava tohoto poškození je mnohem dražší než původní plnění.

Co si pamatovat?

Neexistuje žádný bezpečný způsob, jak zakrýt zubní kaz doma. Každý tip, který vám říká „použij vosk, fixku nebo lepidlo“, je nebezpečný a může způsobit větší škodu. Kaz se nezastaví sám - jen se skryje. A když se objeví bolest, už je pozdě.

Nejlepší způsob, jak „zakrýt“ kaz, je ho odstranit. To znamená: jít k zubnímu lékaři, nečekat, nevyhýbat se. Malý kaz je levná a rychlá oprava. Velký kaz je bolest, náklady a ztráta zubu.

Nejde o to, jak to vypadá zvenčí. Důležité je, co se děje uvnitř. A to uvidí jen lékař s rentgenem a odborným zrcátkem. Nechte si to provést. Nejde o krásu - jde o zdraví.

Můžu zakrýt mezizubní kaz pomocí vosku nebo fixky?

Ne. Vosk nebo fixka mohou dočasně zakrýt dírku, ale nezastaví infekci. Bakterie budou dál ničit zub zevnitř, a vy to nebudete vidět. To může vést k větší škodě, bolesti a nákladnější léčbě. Neexistuje bezpečný způsob, jak zakrýt kaz doma - jen ho odstranit u zubního lékaře.

Je možné zastavit kaz jen pomocí fluoridové pasty?

Fluoridová pasta může zpomalit začátek kazu, pokud ještě není viditelná dírka. Ale pokud už je v zubu otvor, pasta ho nezakryje ani nezastaví. Fluorid pomáhá zpevnit email, ale nemůže regenerovat ztracenou tkáň. Pokud vidíte černou skvrnu, potřebujete plnění.

Kolik stojí léčba mezizubního kazu?

Cena závisí na velikosti kazu a použitém materiálu. Malý kaz s kompozitním plněním stojí obvykle 800-2 000 Kč. Pokud je kaz hluboký a potřebujete kořenové ošetření, cena může dosáhnout 5 000-10 000 Kč. Čím dříve to řešíte, tím nižší náklady budete mít.

Proč se mezizubní kaz nevidí na zrcadle?

Mezizubní kaz se tvoří mezi zuby, kde není přímý přístup k pohledu. Dokonce i zrcadlo nebo světlo nemůže ukázat, co je uvnitř. Pouze rentgen nebo specializované zubní zrcátko a sonda mohou detekovat tento typ kazu. To je důvod, proč je důležité pravidelně navštěvovat zubního lékaře - nejen když bolestí.

Může mezizubní kaz způsobit zápach z úst?

Ano. Když se bakterie hromadí v kazu a začnou rozkládat potraviny, vytvářejí pachové látky, které vydávají zápach. I když si čistíte zuby, zápach zůstane, protože se nachází uvnitř zubu. To je jedna z nejčastějších příčin chronického zápachu z úst, který lidé nechápou.